کلینیک رادیولوژی دهان ، فک و صورت دکتر کاووسی
لوگو
لوگوی کلینیک
رادیولوژی دهان، فک و صورت دکتر کاووسی

پزشکان و مراجعین محترم : از ابتدای دی ماه 1400 ، نسخ بیمه فقط بصورت الکترونیک پذیرفته میشود.

آخرین مطالب
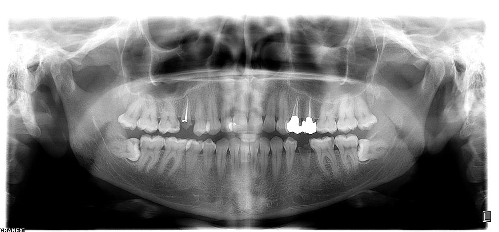
عکس پانورامیک دندان (اصطلاحا OPG)  چیست ؟
عکس پانورامیک دندان (اصطلاحا OPG) چیست ؟

رادیوگرافی پانورکس یا رادیوگرافی پانورامیک یکی از مرسوم ترین رادیوگرافی های تشخیصی در دندانپزشکی است.در این نوع رادیوگرا...

ادامه مطلب
چرا عکس رادیوگرافی دندان میگیریم؟
چرا عکس رادیوگرافی دندان میگیریم؟

  چرا عکس رادیوگرافی دندان میگیریم؟ رادیوگرافی در تشخیص دندان‌پزشکی جایگاه مهمی دارد. امروزه بسیاری از درمان‌های د...

ادامه مطلب
هر پنج ساعت پرواز،یک عکس opg
هر پنج ساعت پرواز،یک عکس opg

   میزان اشعه دریافتی  از کلیشه ها تک دندان معادل یک روز اشعه دریافتی از محیط میباشد. میزان اشعه دریافتی از تصاویر پ...

ادامه مطلب
 نقاط ضعف تصاویر پانورامیک
نقاط ضعف تصاویر پانورامیک

دو مورد از نقاط ضعف تصاویر پانورامیک عبارتند از: 1-وضوح و رزولوشن کمتر نسبت به تصاویر داخل دهان 2-ایجاد اورلب  در تص...

ادامه مطلب
در شرایط شیوع کرونا
در شرایط شیوع کرونا

از همه همکاران محترم و مراجعین گرامی خواهشمندیم در ارایه دستورالعمل های عمومی و تخصصی جلوگیری از انتقال ویروس کرونا ما ر...

ادامه مطلب
سال نو مبارک
سال نو مبارک

عرض تبریک سال جدید حضور همکاران گرامی و آرزوی تعطیلاتی خوب و سالی پر برکت به اطلاع میرساند که این مرکز تا تاریخ سیزدهم ...

ادامه مطلب
حذف پرینت فیلم رادیولوژی.نامه وزارت بهداشت
حذف پرینت فیلم رادیولوژی.نامه وزارت بهداشت

همکاران گرامی به استحضار میرساند: بدنبال بخشنامه های مکرر وزارت بهداشت ؛ ارایه فیلم رادیولوژی و پرینت کاغذی به بیماران ج...

ادامه مطلب
تصاویر Cbct مرکز

<p><img src="/WebsitePanel/Slider/&lt;a href=&quot;http:/uupload.ir/view/eh62_mokhtari_niyaz_1981-01-01-page-001.jpg&quot; target=&quot;_blank&quot;&gt;&lt;img src=&quot;http:/uupload.ir/files/eh62_mokhtari_niyaz_1981-01-01-page-001_thumb.jpg&quot; border=&quot;0&quot; alt=&quot;آپلود عکس&quot; /&gt;&lt;/a&gt;" alt="" /><img src="http://uupload.ir/files/eh62_mokhtari_niyaz_1981-01-01-page-001.jpg" alt="" width="2858" height="2362" /></p>

کلینیک رادیولوژی دهان ، فک و صورت دکتر کاووسی
تهران، فلکه دوم تهرانپارس .ابتدای خیابان فرجام، ساختمان اشراق، پلاک۲۵، طبقه چهارم
ساعات کار از ۹ صبح الی ۸ شب
نرم افزار موبایل کلینیک رادیولوژی دهان ، فک و صورت دکتر کاووسی
آیکون اندروید ios آیکون